⚠️ ĐỪNG TẨY TRẮNG RĂNG NẾU CHƯA ĐỌC HẾT BÀI NÀY! ⚠️
Bạn đang tính đi "tậu" một nụ cười trắng sáng để tự tin du xuân, chụp ảnh sống ảo ⁉️
Nhiều người lầm tưởng: Cứ tẩy là răng sẽ trắng. Nhưng thực tế, nha khoa phải cảnh báo bạn 3 trường hợp TUYỆT ĐỐI KHÔNG NÊN tẩy trắng:
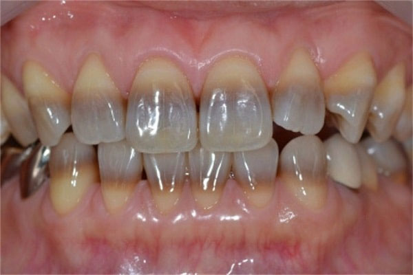
☝️RĂNG NHIỄM KHÁNG SINH (Tetracycline): Những vết xỉn màu từ sâu bên trong men răng này "lì lợm" hơn bạn tưởng. Tẩy trắng thông thường chỉ làm răng ê buốt chứ không thể làm bật tone.
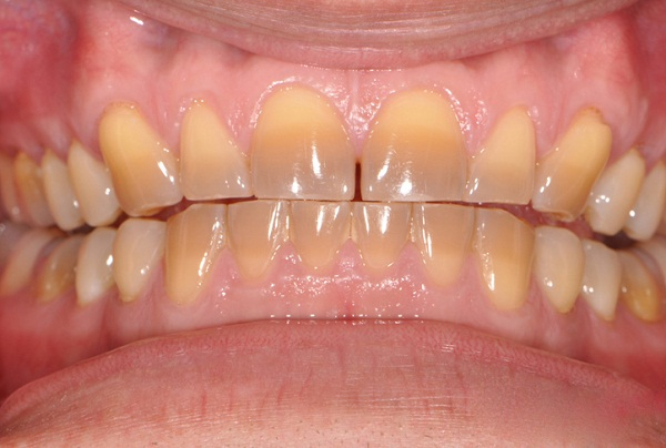
✌️ RĂNG CÓ MIẾNG TRÁM LỚN HOẶC ĐÃ BỌC SỨ: Thuốc tẩy trắng chỉ có tác dụng trên men răng thật. Nếu bạn tẩy, răng thật sẽ trắng lên còn răng sứ/miếng trám vẫn giữ màu cũ, tạo nên một hàm răng "loang lổ" cực kỳ mất thẩm mỹ.
🤟 RĂNG CÓ MEN QUÁ MỎNG HOẶC ĐANG VIÊM NƯỚU: Cố chấp tẩy trắng lúc này không khác gì "tra tấn" hàm răng, dẫn đến những cơn ê buốt thấu tận óc, thậm chí hỏng luôn tủy răng!


⚠️ CẢNH BÁO: Đừng tin vào những loại máng tẩy, miếng dán thần tốc trôi nổi trên mạng. Men răng một khi đã hỏng thì không thể phục hồi!
☘️ VẬY GIẢI PHÁP NÀO CHO BẠN ⁉️
Chỉ còn chưa đầy 3 tuần nữa là đến Tết Nguyên Đán. Để biết chính xác răng bạn có "hợp tác" với việc tẩy trắng hay không, hãy ghé NHA KHOA NGHI KHANG để các bác sĩ thăm khám trực tiếp nhé!
👉 Nếu răng khỏe: Tẩy trắng bằng công nghệ chiếu đèn Plasma hiện đại chỉ mất 45 phút – trắng bật tone.
👉 Nếu răng nhiễm màu nặng: Dán sứ Veneer hoặc bọc sứ thẩm mỹ sẽ giúp bạn có nụ cười rạng rỡ hơn.

📞📲📳 Inbox/Gọi hotline ngay để được bác sĩ kiểm tra tình trạng men răng MIỄN PHÍ